
ESPECIALISTA NA CIRURGIA DOS DENTES DO SISO EM RECIFE
Elimine o incômodo e alivie suas dores de forma segura e tranquila!
A combinação perfeita de conhecimento especializado, tecnologia, atendimento humanizado, recuperação rápida.
As melhores soluções para você estão aqui. Confie em nossa experiência para um tratamento eficaz e confortável!
DR. ROBERTO ARAÚJO FILHO
CIRURGIA BUCOMAXILOFACIAL
CRO-PE: 7712


COMO FUNCIONA O ATENDIMENTO
Consulta para avalição clínica, solicitação de exames, prescrição e orientações pré operatórias e agendamento do procedimento
Realização do exames de imagem e laboratoriais, em clínicas especializadas
Realização do procedimento no consultório no horário agendado
Suporte pós operatório 24 horas via WhatsApp
Reavaliação após 08 dias e remoção dos pontos. Alta e retorno as atividades
RESOLVA SEU PROBLEMA EM UMA SEMANA



EQUIPE QUALIFICADA
Profissional com 20 anos de formação, especialista em Cirurgia Bucomaxilofacial, com mais de 20.000 cirurgias realizadas.


Nossa clínica possui estrutura moderna e respeitamos todos os critérios dos órgãos fiscalizadores. Permitindo assim, uma cirurgia mais segura.
CONSULTÓRIO MODERNO
CIRURGIA SEGURA
Dependendo da complexidade do caso cirúrgico, os procedimentos são realizados em ambiente hospitalar. Com todo conforto e segurança da anestesia geral.




MELHORES HOSPITAIS
Atuamos nos melhores hospitais particulares de Recife-PE. Dando todo suporte para liberação de sua cirurgia.
RETORNO RÁPIDO
Técnicas mais precisas e menos invasivas, propicia menor edema e recuperação mais rápida.
CUSTO X BENEFÍCIO
Removas todos os dentes em única intervenção. Promovendo mais benefícios na sua recuperação e menor custo pós-operatório.




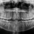
POR QUE REMOVER O DENTE DO SISO?
A Cirurgia dos dentes inclusos irá propiciar otimização da sua higiene oral. Irá resolver seus problemas de dor, inflamação/infecção, traumas aos dentes adjacentes.
Com 20 anos de experiência, nossa clínica oferece atendimento humanizado e equipe qualificada para cuidar da sua saúde bucal de forma segura e eficiente.
Com mais de 20 anos de experiência em cirurgias dos dentes do siso. Sou graduado na Faculdade de Odontologia de Pernambuco (FOP/UPE), pós-graduação em Cirurgia e Traumatologia Bucomaxilofacial pelo HUOC/UPE e em Implantodontia.
Estou sempre em busca da qualidade e profissionalismo em meus atendimentos, oferecendo um tratamento humanizado desde o primeiro contato com meus pacientes.
Essa é nossa missão, entregar a cirurgia dos dentes siso com qualidade, carinho e humanização, buscando aliviar dores e solucionar traumas.


DR. ROBERTO ARAÚJO FILHO
CIRURGIA BUCOMAXILOFACIAL
CRO-PE: 7712
ATENDEMOS NO CONSULTÓRIO OU HOSPITAL
Somos referência na extração de dentes do siso, sempre com a máxima segurança. O procedimento pode ser feito com anestesia local ou geral, no consultório ou hospital.
Nossa equipe é altamente qualificada para oferecer um atendimento humanizado, rápido e seguro, priorizando o seu bem-estar em cada etapa do tratamento.
E o cuidado não acaba na cirurgia! Oferecemos todo o suporte necessário no pós-operatório para que sua recuperação seja rápida e sem complicações.








CONHEÇA NOSSA ROTINA CIRÚRGICA

Somos a clínica melhor avaliada em Recife-PE. Com mais de 1300 avaliações positivas, estamos prontos para orienta-lo na sua cirurgia dos dentes sisos.
Não adie mais, dê o primeiro passo para resolver seu problema. Iremos atende-lo o mais rápido possível, dando-lhe todo suporte necessário.




















AINDA FICOU COM ALGUMA DÚVIDA?
ENTRE EM CONTATO CONOSCO AGORA
Estamos aqui para ajudar a resolver seus problemas com os dentes do siso, de forma rápida e eficaz. Entre em contato conosco para marcar uma consulta ou tirar suas dúvidas.
Contato
(81) 3221-0008 | (81) 3302-6390
neope@hotmail.com.br
Endereço
Empresarial Graham Bell - Av. Frei Matias Teves, 285 - Sala 911 - Ilha do Leite, Recife - PE, 50070-450
